Carillas de Porcelana y Diseño de Sonrisa Digital
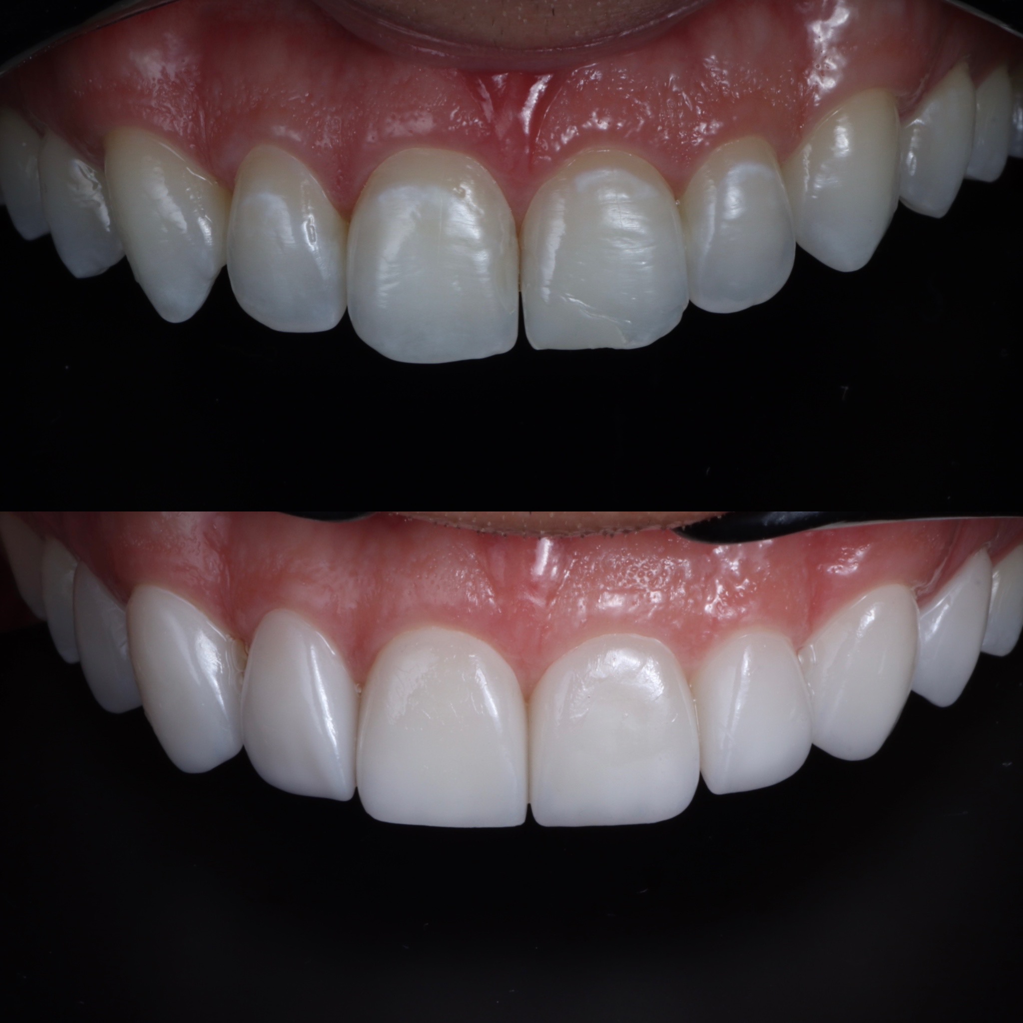
Las carillas de porcelana son una solución estética moderna orientada a mejorar la armonía de la sonrisa de forma conservadora y cuidadosamente planificada. Este tratamiento permite optimizar color, forma y proporciones dentales con resultados altamente naturales cuando está correctamente indicado.

El Dr. Antonio Sánchez aborda cada caso desde un diagnóstico clínico individualizado, priorizando la salud dental, la función y la estética. La planificación detallada es un pilar fundamental para obtener resultados predecibles y biológicamente respetuosos.
Una de las inquietudes más frecuentes de los pacientes es el desgaste dental. En odontología contemporánea, la preparación para carillas puede ser mínima y limitada al esmalte en muchos casos. La magnitud de cualquier reducción depende estrictamente de las condiciones iniciales y de los objetivos del tratamiento.
El uso de herramientas digitales de análisis y diseño permite planificar restauraciones más delgadas, precisas y adaptadas a cada sonrisa. Este enfoque facilita decisiones conservadoras y reduce la necesidad de intervenciones innecesarias sobre la estructura dental.
Más allá de la tecnología, el criterio clínico del profesional es determinante. La evaluación adecuada, la selección correcta del caso y la ejecución meticulosa son factores esenciales para preservar la biología dental y lograr resultados estéticos estables.
Diseño de sonrisa digital

Conoce los resultados de nuestros pacientes
El objetivo del Dr. Antonio Sánchez es lograr mejoras estéticas que respeten la estructura dental, mantengan la función adecuada y se integren de forma armónica con la expresión facial.
Cada decisión terapéutica se basa en principios clínicos, no en soluciones genéricas.











